首页
课程介绍
课程介绍
课程负责人
课程负责人
师资队伍
教师风采
教学团队
课程资源
教学大纲
教学设计
教学课件
教学视频
实践教学大纲
案例分析
习题库
教材及参考书目
网络资源
课程建设
教材与论著
课程思政
创业创新课程
教学环境
教学环境
科教研动态
科教研动态
教学成果
获奖证书
教师成果
学生成果
网上答疑
网上答疑
评价反馈
评价反馈
联系我们
联系我们
课程资源
教学大纲
教学设计
教学课件
教学视频
实践教学大纲
案例分析
习题库
教材及参考书目
网络资源
教学课件
您现在所在位置:
首页
>
教学课件
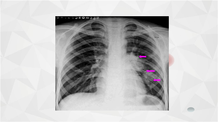
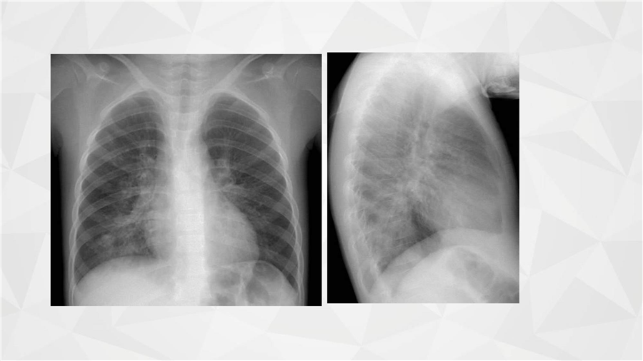
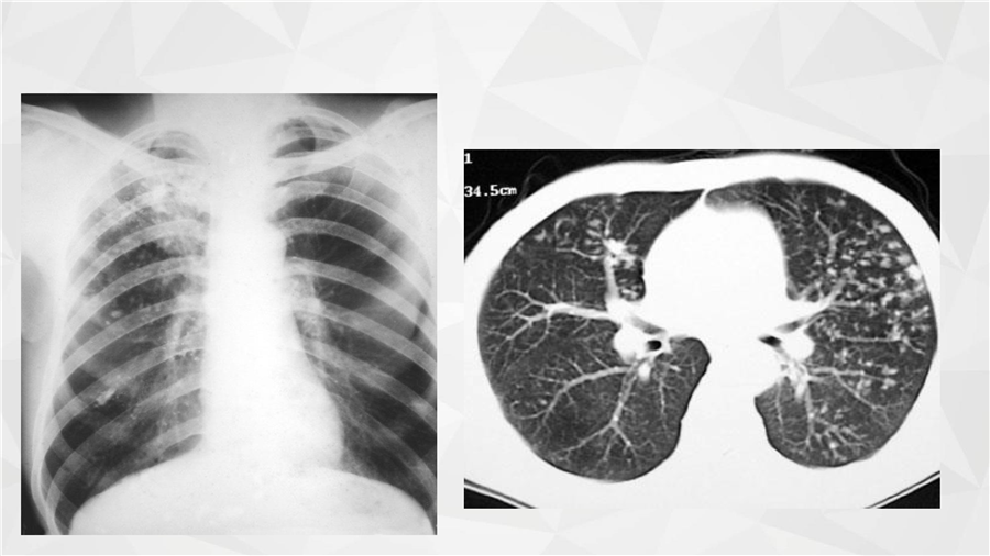
呼吸系统三
编辑: 文章来源: 发布时间:2020-10-21 阅读次数:448
打印本页
关闭窗口
地 址:中国.陕西省西咸新区西咸大道
电 话:+86-029-38185000
邮 编:712046
Copyright 陕西中医药大学医学技术学院 版权所有
技术支持:
新势力网络